
У Тернопільській обласній клінічній лікарні провели першу в регіоні ротаційну атеректомію. Це складна процедура, яку застосовують, коли звичайні методи не працюють через сильне звапніння артерій серця.
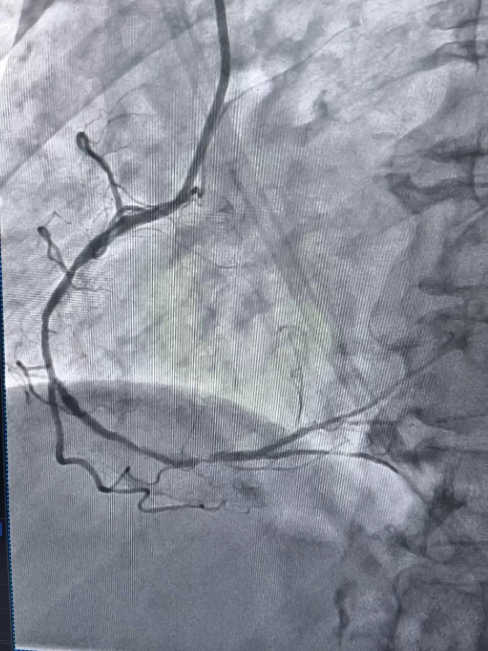
Пацієнтці діагностували серйозне звуження правої коронарної артерії. Розширити судину стандартним способом лікарі не змогли, навіть коли використали балон з тиском у 25 атмосфер – це вдесятеро більше, ніж у колесі автомобіля. Про це повідомили у Тернопільській обласній лікарні.
Тоді медики застосували ротаблятор. Це спеціальний прилад з буром, який покритий діамантовим напиленням. Він дозволяє обробити звапнілу бляшку в судині, фактично шліфуючи її. Після цього лікарі змогли встановити стенти.
Завідувач відділенням інтервенційної радіології, кардіології та реперфузійної терапії Богдан Маслій розповів про значення процедури.
“Це втручання стало важливим кроком для нашої лікарні та всієї області. Ротаційна атеректомія застосовується у найскладніших випадках кальцинованих уражень коронарних артерій, коли стандартна ангіопластика неефективна. Виконання такої процедури означає, що пацієнти Тернопільщини можуть отримати сучасну високоспеціалізовану допомогу без необхідності їхати в інші регіони”, – наголосив Богдан Маслій.
Операція пройшла успішно. Жінці встановили стенти, які відновили нормальний кровотік у серцевій артерії.

